Kalıcı dişlerimiz çekildiğinde tedavi nasıl uygulanır? ...
İmplant ve estetik diş tedavileri ülkemizde kısa süre içerisinde hızlı bir şekilde uygulanması nedeni ile ...
1 Comments
Zirkonyum ışık geçirmesi, metal alerji sorunu yaratmaması ve diş renginde olması nedeni ile en çok ...
Estetik Diş Hekimliğinde Lamine Dişler nasıl yapılır, ağızdaki dişlere uygulama aşamaları nelerdir? Lamina ne kadar ...
Ortodonti tedavisi adı verilen diş teli tedavisi hangi yaşta uygulanmalıdır? Tedavi süresi nekadar sürer? Süt ...
İmplantın ömrü ve uzun süre kullanmak için yapılması gerekenler... ...
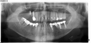
Tam dişsiz hastalar için implantlar büyük ölçüde çüpneme konforu sağlar ve yaşam kalitesini arttırırlar. ...
İmplant diş uygulanırken dikkat edilecek hususlar nelerdir? ...
İmplantın uzun ömürlü olması için iyi planlanması, iyi uygulanması ve iyi kullanılması gerekir. Temizliğinin ve ...
Bu web sitesi, size mümkün olan en iyi kullanıcı deneyimini sunabilmek için çerezleri kullanır. Çerez bilgileri tarayıcınızda saklanır ve web sitemize döndüğünüzde sizi tanımak ve ekibimizin web sitesinin hangi bölümlerini en ilginç ve yararlı bulduğunuzu anlamasına yardımcı olmak gibi işlevleri yerine getirir.
Çerez ayarları tercihlerinizi kaydedebilmemiz için kesinlikle gerekli çerezler her zaman etkin olmalıdır.
Bu web sitesi, siteyi ziyaret edenlerin sayısı ve en popüler sayfalar gibi anonim bilgileri toplamak için Google Analytics kullanır.
Bu çerezi etkin tutmak web sitemizi geliştirmemize yardımcı olur.